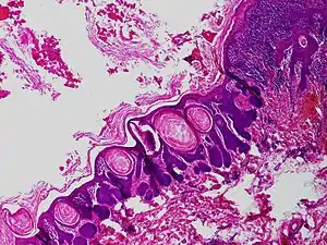
Trichofolliculoma
Trichofolliculoma is a cutaneous condition characterized by a benign, highly structured tumor of the pilosebaceous unit.[1]:671[2]
| Trichofolliculoma | |
|---|---|
![]() | |
| Specialty | Dermatology, oncology |
See also
- Multiple familial trichoepithelioma
- Pilomatricoma
- Skin lesion
- List of cutaneous conditions
References
External links
| Classification | |
|---|---|
| External resources |
This article is issued from Wikipedia. The text is licensed under Creative Commons - Attribution - Sharealike. Additional terms may apply for the media files.
